26
2025/099月24日,由广西预防医学会主办、中山大学附属第一医院(简称中山一院)广西医院承办的广西预防医学会体外生命支持专业委员会2025年动物致伤防治新进展学习班在南宁举行。本次学习班围绕动物致伤防治的前沿动态与实用技术展开,旨在提升广西地区动物致伤相关疾病的诊疗水平,推动救治流程规范化。来自全区各级医疗机构急诊科、重症医学科、外科等近百名医务人员参会。会议由广西预防医学会体外生命支...
2025-09-26 MORE >17
2025/09近日,记录中山大学附属第一医院(简称中山一院)广西医院成功救治越南籍罕见病患儿的新闻报道《粤桂携手救治4岁越南籍罕见病危重患儿》,在2025年度新闻奖评选中,荣获了广西新闻宣传奖新闻类(2023 年度)三等奖。作品以真实笔触展现了中山一院广西医院作为国家区域医疗中心的技术实力与粤桂协作的深厚底蕴,也彰显了医院“立足广西、辐射西南、面向东盟、接轨国际”的战略布局和使命担当。据了解,广西新...
2025-09-17 MORE >17
2025/09在日常生活中,你有没有遇到过这样的情况?身边的人突然频繁打喷嚏,鼻涕流个不停,眼睛还红红的、痒痒的,可他却没感冒。这很可能是因为他患上了变应性鼻炎。变应性鼻炎,俗称“过敏性鼻炎”,是一种由人体接触过敏原后,由免疫球蛋白E(IgE)介导的鼻黏膜非感染性炎性疾病。它虽不致命,却严重影响患者的生活质量、工作效率和睡眠。本周六(9月20日),中山大学附属第一医院(简称中山一院)广西医院将邀请中山...
2025-09-17 MORE >15
2025/09近日,在中山大学附属第一医院(简称中山一院)广西医院麻醉(疼痛)科诊室,68岁的罗女士(化名)在和医生的交谈中,脸上终于露出了久违的笑容。原来,这些年罗女士一直被严重的失眠、焦虑和抑郁所折磨,伴有心慌、手抖等不适症状,即使长期依赖镇静催眠(安眠药)药也无济于事,已经辗转了多家医院,看了很多医生,治疗效果都不是很理想。最终,她在我院麻醉(疼痛)科全体医护人员的帮助下,改善了睡眠质量,重新...
2025-09-15 MORE >12
2025/09为进一步加强国家区域医疗中心之间的合作与交流,提升医疗服务水平,推动区域医疗协同发展,9月10日,中山大学附属第一医院(简称中山一院)贵州医院党委书记孙祥宙一行到中山一院广西医院参观交流并举行座谈会。中山一院广西医院执行院长李健,党委副书记、纪委书记赖伟忠,副院长夏文豪及相关职能部门负责人参加。座谈会由夏文豪主持。座谈会上,李健对孙祥宙一行的到来表示欢迎。他指出,我院聚焦“优...
2025-09-12 MORE >11
2025/09您是否遇到过这样的场景:家人突然晕倒、孩子吃东西噎住、老人突发不适……意外总是不期而至,在救护车到达前的“黄金4分钟”,您的正确反应,可能就是挽救生命的关键!健康是幸福生活的基石,急救知识是守护生命的重要防线。为了让社区居民在家门口就能享受到专业的医疗服务,同时提升大家的急救意识和能力,9月13日,中山大学附属第一医院(简称中山一院)广西医院联合中山一院多学科专家,以“提升全民科学...
2025-09-11 MORE >11
2025/09为弘扬教育家精神,加强新时代师德师风建设,展示新时代高素质专业化教师队伍立德树人、自信自强的精神风貌,9月9日,在第41个教师节来临之际,中山大学附属第一医院(简称中山一院)广西医院在八月会议中心举行2025年教师节表彰活动暨师资培训班开幕仪式。我院执行院长李健、党委书记张国等在院领导,自治区人民医院领导班子代表,我院全体中层干部、各教研室主任、获表彰教师、学生代表、教学相关工作人...
2025-09-11 MORE >05
2025/09甲状腺结节,听起来是不是有点让人担心?其实,它就是甲状腺里长出来的小疙瘩。很多人在体检时都会查出甲状腺结节,但别害怕,大部分结节都是良性的,就像皮肤上的小痦子一样,没啥大问题。不过,也有一小部分可能是恶性的,这就需要我们多留个心眼了。今天,咱们就来聊聊怎么判断甲状腺结节是好是坏,让大家心里有个数,不用瞎操心。甲状腺长在哪儿首先,咱们得知道甲状腺长在哪儿。它就在脖子前面,气管两...
2025-09-05 MORE >05
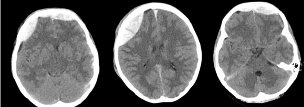
2025/09近日,中山大学附属第一医院(简称中山一院)广西医院神经外科团队成功救治一名因外伤导致迟发性硬膜外血肿的患者,经开颅硬膜外血肿清除术后,患者最终康复出院,并为科室送来一面写有“医术精湛挽危厄,仁心厚德臻至善”字样的锦旗,表达对科室全体医护人员感谢。患者黄女士(化名)是一名警员。因意外受伤被送到我院急诊科救治。我院立即启动绿色通道,为患者进行全面检查,头颅CT提示,额骨、右顶骨有20...
2025-09-05 MORE >02
2025/09在我们的日常生活中,喉咙痛、声音嘶哑很常见,大多数人会将其归咎于感冒或用嗓过度。然而,当这些症状持续不退时,它们可能是在向我们传递一个不容忽视的健康警报——警惕咽喉肿瘤的发生。咽喉肿瘤是一种常见的恶性肿瘤,在早期往往症状不明显,容易被人们忽视,但一旦发展到晚期,会对患者的生命造成严重威胁。因此,了解咽喉肿瘤的相关知识,提高警惕,做到早发现、早诊断、早治疗,对于守护咽喉健康至关重...
2025-09-02 MORE >02
2025/09为推动优质医疗资源下沉基层,切实提升钟山县域内医疗服务能力与群众就医获得感,8月29日,中山大学附属第一医院(简称中山一院)广西医院与钟山县人民医院正式签订技术协作协议。中山一院广西医院副院长夏文豪,钟山县卫健局党组书记、局长、党工委书记、钟山县紧密型县域医疗卫生健康共同体(以下简称“健共体”)党委书记莫善斌,钟山县卫健局党组成员、党工委副书记、健共体党委副书记叶青,县卫健局副...
2025-09-02 MORE >01
2025/09近日,由国家卫生健康委卫生发展研究中心慢性肝病联盟指导,中山大学附属第一医院(简称中山一院)广西医院联合南宁市青秀区卫生健康局共同开展的“中国居民肝脏健康促进项目(南宁·青秀区)”在历经一个月的紧张推进后,圆满完成首批1080例免费筛查工作。8月23日,“中国居民肝脏健康促进项目(南宁市·青秀区)”阶段性总结会在中山大学附属第一医院(简称中山一院)广西医院召开,自治区卫生健康委员会党...
2025-09-01 MORE >